Argus Exploratory Pathology Lab
Argus Exploratory Pathology Lab is an autodidactic educational organization dedicated to providing hands-on “mock” laboratory testing experience to pre-veterinary & livestock science students through voluntary community sample submissions.

About AEPL
Argus Exploratory Pathology Lab aims to advance the understanding of pathology in undergraduate students to support future generations of veterinary industry professionals. Through free community submissions of non-hazardous samples, our student testers have access to real cases to analyze, explore, and learn about small ruminant healthcare.

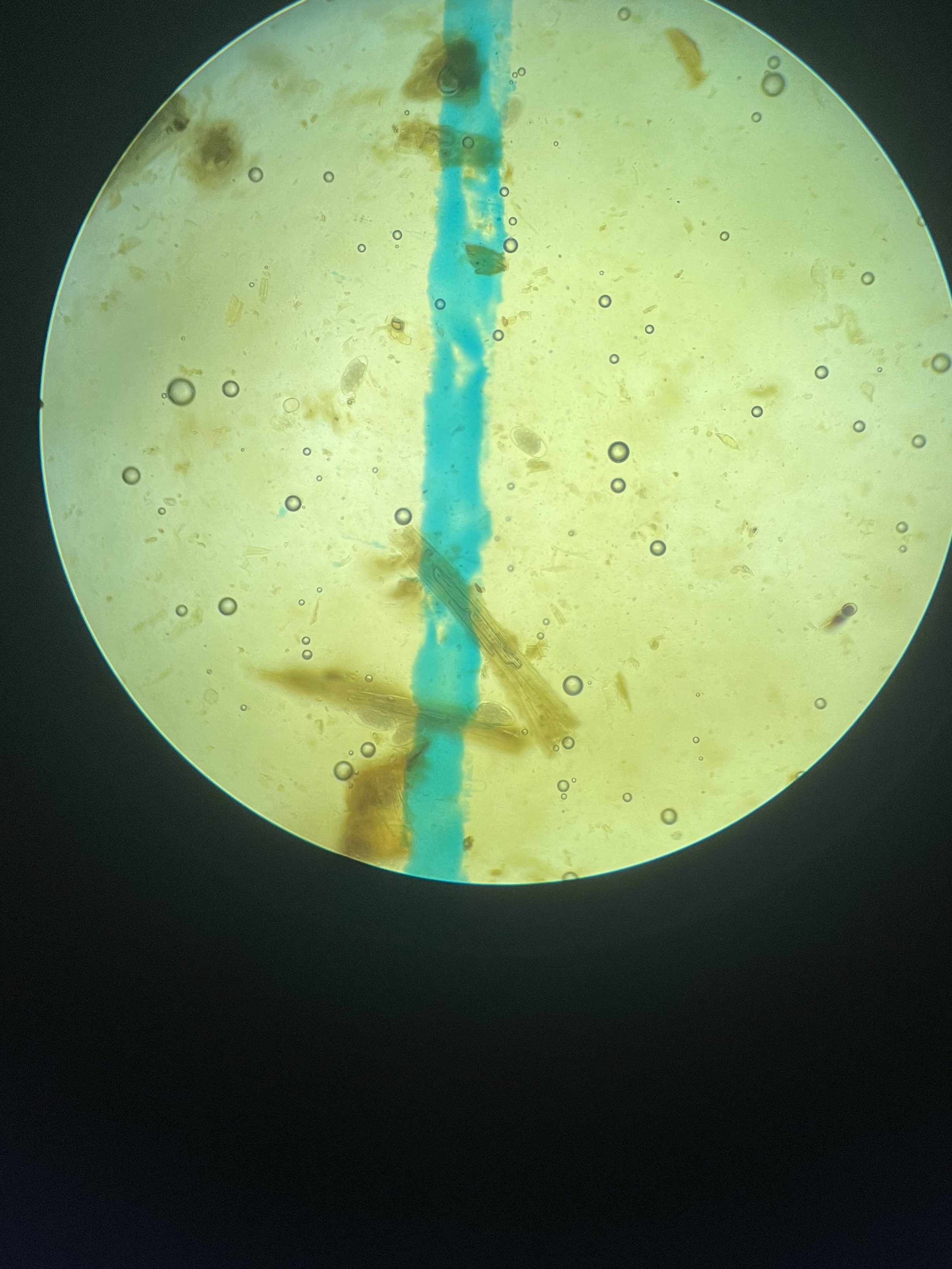
Parasitology
Fecal Egg Count Testing (Small Ruminants)
Send in your sheep or goat’s sample(s) according to guidelines below, and our team will quickly begin their analyses! Optional donations to help provide the materials used in testing and support the education process are encouraged and greatly appreciated.
You will be contacted by a team member regarding any discoveries made in the analysis, but do note these are unofficial, non-diagnostic, non-actionable analyses, and any samples should be concurrently sent to an accredited lab with licensed technicians.
Sample Submission Guidelines
See our guidelines regarding small ruminant sample submissions.

Other Educational Endeavors
Milk Pathology
AEPL students engage in milk testing including, but not limited to: On-Farm CMTs, Agar Plate Bacterial Cultures, and Kirby-Bauer Disk Diffusion Antibiotic Sensitivity Tests. Under the guidance of an experienced microbiologist, AEPL students use community-submitted samples from animals with suspected mastitis (or healthy animals for comparison) to hone diagnostic testing skills in preparation for livestock management careers or veterinary school.
Blood Pathology
Blood samples are a common diagnostic tool in pathological tests. Techniques from blood drawing, handling, to correct blood smear creation on slides are practiced here at AEPL, all under the supervision of a veterinarian.

Proudly powered by WordPress
